Les càries, fractures o petits canvis de color de les dents, es poden resoldre en molts casos amb compòsits (empastos), fets a la clínica en una
sessió.
CAS CLÍNIC 1
CAS CLÍNIC 2
CAS CLÍNIC 3
CAS CLÍNIC 4
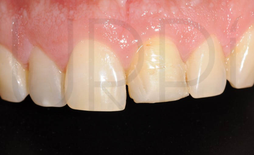
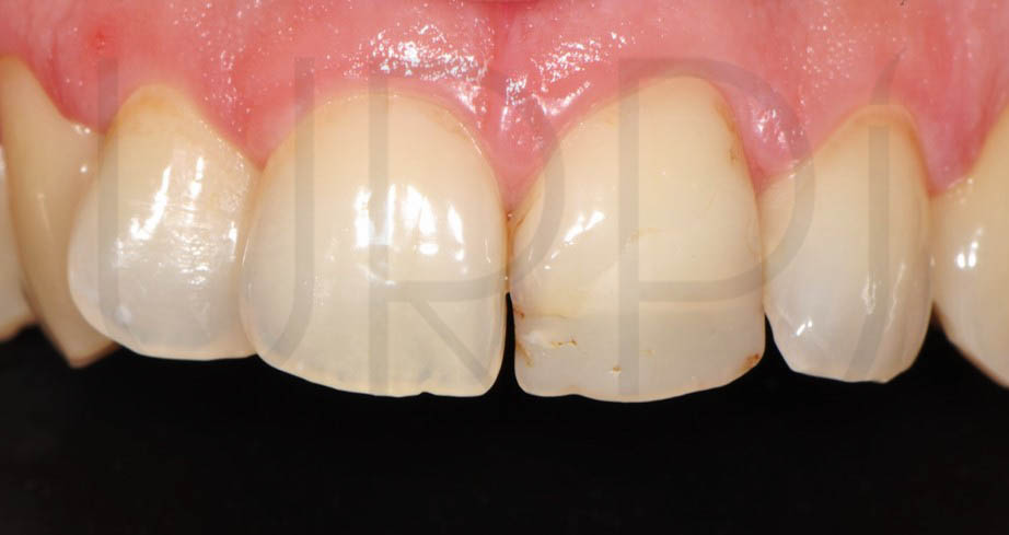
CAS CLÍNIC 1
Compòsits
Laminat en incisiva central superior amb decoloració i un compòsit antic defectuós.
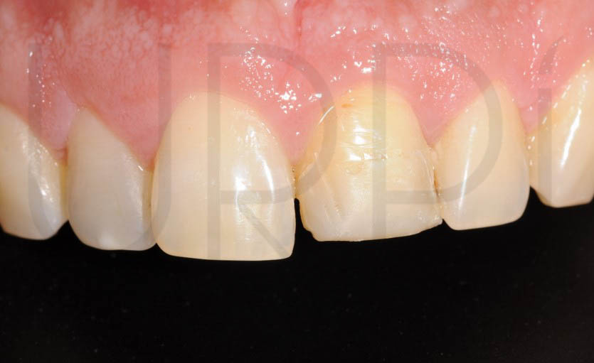
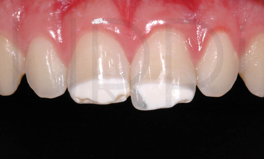
CAS CLÍNIC 2
Eliminació de taques blanques en ambdues incisives centrals superiors.
CAS CLÍNIC 3
Reconstrucció de fractura en incisiva lateral superior.
CAS CLÍNIC 4
Gran reconstrucció en incisiva central superior, canviant un compòsit antic tenyit.